Our Clients Eyeliner Tattoo Gallery
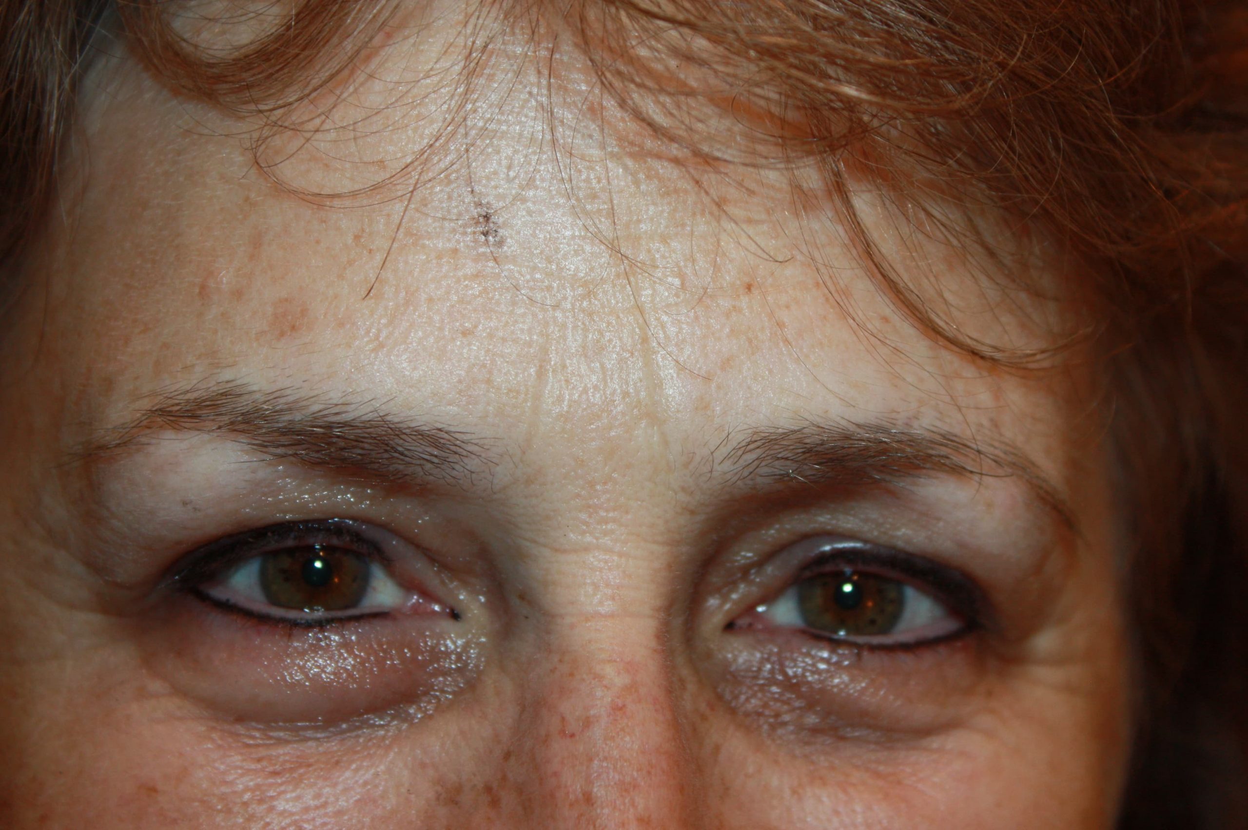
Browse client photos of eyeliner tattoos: Lash Enhancement, Thin to Thick Eyeliner, some connected at the outer corner, others not connected.



Eyeliner Tattoo Client Photos




Browse client photos of eyeliner tattoos: Lash Enhancement, Thin to Thick Eyeliner, some connected at the outer corner, others not connected.






